

かめのこ歯科は、歯周病治療を最重視しています。
歯周病治療を行うには、最初に口腔内全体の検査を行い、正確な診断をする必要があります。
そのため、最初は少しお時間がかかる可能性があります。どうぞご理解ください。
問診表にご記入いただき、症状を確認してからお口の中を診させていただきます。
痛みや腫れがあるところから処置を行います。
レントゲン写真撮影、口腔内写真撮影、歯周組織の検査などの必要な検査を行います。
お口の現状を報告し、今後必要な治療について説明させていただきます。
治療内容は患者さまに決定していただきます。
患者さまと合意した治療内容の治療を行います。
むし歯や歯周病の予防や再発防止のためにブラッシング指導を行います。
治療は終わってからがとても大事です。むし歯や歯周病が発症する前に、
定期的に歯のクリーニングを受けていただくことを強くお勧めいたします。

かめのこ歯科は、保険医療機関です。保険診療を中心に行い、患者さまの口腔内をメインテナンスしていきたいと考えています。保険診療とは、健康保険に加入している患者さまが対象で、患者さまによって医療費の負担額が0割、1割、3割と定められている国の制度です。
歯周病とは、歯を支えている骨を溶かす病気です。やっかいなことに、末期になるまで自覚症状がなく、気がついたら歯がグラグラして噛むと痛くなります。その原因は歯の周りに付く歯垢に潜む歯周病菌です。歯周病菌の住み家となる歯垢をなくすことで、歯周病の予防や進行を防ぐことができます。
当院では、予防先進国スウェーデンの歯周病治療を基本として歯科治療を行っています。歯周病治療を行わずに差し歯をしたり入れ歯を作ったりするのは、地盤のゆるい土地に建物を建てるのと同じことで、長持ちしないことが多いのです。しっかりとした土台を築いてから患者さまに合った治療をご提案させていただき、お口の健康をトータル・サポートさせていただきたいと考えています。
歯石や歯垢を取り除くために、超音波の機械を使います。この機械は、使い方ひとつで痛くもでき、極力痛くなくすることも可能です。当院スタッフには、痛くない歯石取りを行うよう指導しています。痛みを感じるようであれば超音波のパワーを弱くしたり、歯の当て方を変えるなどの工夫をして、歯石取りが患者さまの負担にならないよう心がけています。
歯周病が重度に進行してしまい、歯石を取るだけでは十分な効果が得られない場合は、歯周外科手術をご提案させていただくことがあります。
むし歯は、小さい頃から馴染みのある病気ですね。むし歯菌が酸を出すことによって歯が溶かされていく病気です。自然に治ることはなく、進行すると、激しい痛みを感じて歯の神経を取らないといけなくなることがあります。神経まで到達するまで痛みを感じにくい病気なので、定期的に歯科検診を受けて、むし歯が発見されたら早期治療をおすすめします。
大きなむし歯は、どこまでがむし歯なのか、我々歯医者でも見分けるのが難しいです。というか正直わかりません。健全な歯は堅い、むし歯は柔らかい、くらいの判断基準しかなく、歯医者の指先の経験だけに頼るのはむし歯の取り残しにつながり、非常に危険だと考えています。当院では、むし歯がちゃんと取れているか確認するために、「カリエスチェック」と呼ばれるむし歯菌の染色液を使用しています。むし歯菌が染色されることで、どこまでがむし歯なのか、取り残しがないかを客観的に判断できるので、歯医者の立場でも安心です。
むし歯が取れた後は、削った場所や大きさにもよりますが、直接プラスチックを詰める方法(コンポジットレジン充填)や、歯型を取って金属の詰め物(インレー)を作ってセメントでくっつける方法をします。金属の詰め物を白くしたり、より良い金属の詰め物にしようとすると自費診療になります。保険適応でできる治療内容は複雑なので、わからないことはお気軽にご相談ください。
術前
かみ合わせの溝が黒くなっています。
むし歯除去
むし歯を取り除いたところ、むし歯は神経まで広がっておらず、銀色の詰め物を作るほど大きくなさそうです。
術後
歯と同じ色の特殊なプラスチックを詰めて治療終了です。
術前
レントゲンで銀色の詰め物の下にむし歯を発見しました。見た目には全然わかりません。
染色
カリエスチェックでむし歯を染色しています。
術後
むし歯を全部取り除いた所、神経は出てきていません。この場合は神経を残して治療を進めます。
術前
神経までむし歯が広がっていなければ、むし歯を取り除き、形を整えて型どりをします。
術後
保険の範囲内であれば銀色の詰め物が装着されます。歯と同じ色の詰め物を希望される場合は自費診療になることがあります。
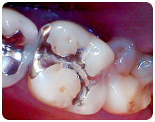
術前
レントゲンでむし歯を発見しました。見た目にはそんなに大きく見えません。
染色後
カリエスチェックでむし歯菌を染色しています。大きなむし歯が確認できます。
むし歯除去
むし歯を全部取り除いた所、神経までむし歯は広がっていました。神経が出ているのが確認できます。この場合は神経を取らないといけません。
部分的な詰め物では対応できないような大きなむし歯や、神経を取ってしまった歯に対しては、歯の全周をかぶせる処置(差し歯)をします。保険診療の範囲内では、決められた種類の差し歯しかできません。現在、1番前の歯から5番目の歯までは白い歯が保険適応になり、6番目は条件付きで白い歯が保険適応になります。ただ、保険適応の白い歯は、色が黄色くなることや、われやすいという点から、自費診療の差し歯の方が満足いただけることが多いです。
当院では、部分的な詰め物や差し歯を作るときに保険適応の差し歯にするのか、自費診療の差し歯にするのか、説明と同意の上で決定するよう心がけています。その歯の状態、持ち、見え方などを総合的に判断して1本1本に対してオーダーメイドの治療を提案させていただいています。
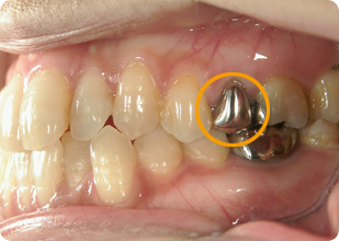
術前
5番目の歯に銀歯が入っています。
術後
保険診療の範囲内で白い差し歯にすることができます。
歯が残り少なくなったり、歯が全部なくなってしまった場合は、保険診療の範囲内では入れ歯になります。当院では、保険診療の範囲内の入れ歯であっても、自費診療の入れ歯を作るときと同様の手順で行うようにしています。保険の入れ歯が合わないのに自費の入れ歯を作っても合うはずないと考えているからです。なので、いきなり自費の入れ歯を作るより、まずは保険の入れ歯でちゃんと使用できるか試してもらうことをおすすめしています。
そして、保険の入れ歯がちゃんと使用できている上で、もし「見た目をもっと入れ歯とわからないようにしたい!」とか「薄くてわれにくく丈夫で長持ちする入れ歯にしたい!」といったご希望がある場合に自費の入れ歯をおすすめいたします。ただ、入れ歯を入れているだけで吐きそうになるなど、生理的に入れ歯を受け入れられない方も中にはいらっしゃいます。その場合はやむを得ずインプラントをおすすめすることもあります。
むし歯や歯周病が進行しすぎていたり、歯が折れてしまったりした場合、やむを得ず歯を抜かないといけないことがあります。また、他の歯に悪影響を及ぼす親しらずも抜かないといけないことがあります。当院の抜歯に対する考え方は、「患者さまが抜くと言わない限りは抜かない」です。現在の歯の状態、抜いた方がよいか、もし抜いた後はどのような治療の選択肢があるのか、などを説明させていただき、患者さまに納得していただいた場合のみやむを得ず歯を抜きます。歯は人生において大きな財産です。できるだけ歯を抜かずにすむようにしたいと考えています。
親しらずの抜歯は特殊ですが、愛媛大学病院歯科口腔外科での勤務経験がありますので、安心してお任せください。ただし、個人病院での抜歯後の管理が困難な抜歯の場合は提携病院に紹介させていただくことがありますのでご理解ください。
こんな小児歯科治療を目指しています
当院のお子様に対する治療の基本的な考え方は、「お子様が自立した治療」です。無理やり押さえつけて治療をするのも一つの方法です。確かにむし歯は治るでしょう。その代償として、そのお子様は歯医者が嫌いになります。当院ではお母様の強い希望がない限りはこの方法を行いません。
お子様の性格は様々です。最初からへっちゃらでできるお子様、最初は怖がっていたけど何回か練習してできるようになるお子様、怖くないと頭の中でわかっていても実際お口の中でやるとなると怖くなって何回練習してもできないお子様。押さえつけられて治療されたトラウマで歯医者を完全に拒絶しているお子様。本当に様々です。お子様の性格を把握し、その時できないお子様にはそのお子様に合う別の治療法をしたらいいと考えています。もう少し成長したらまたトライすればいいと思います。お子様の心の成長は年齢では計れないものだと思っています。
お子様への治療のアプローチは、「Tell、Show、Do法」を基本としています。その名の通り、「教える、見せる、やってみる方法」です。いきなりお子様のお口の中に器具や機械を入れたり、風をかけたりお水を出したりすると、お子様はパニックになります。何をされているのかわからないのが、お子様にとっては恐怖以外の何物でもないのです。なので、その恐怖心を抱かせないように、まず何をこれからするのかをお子様に教えます。そして、お口の外でお子様が自分で見えるように風をかけてみたり、お水を出してみたり、機械の音を聞いてもらったり、実際触ってもらってみたりして、怖くない、痛くないことをわかっていただきます。
そこまでお子様に理解していただけたら、お口の中で風をかけたり、水を出したり、機械の音を出したりして大丈夫かどうか確認します。この時点で恐怖心がなくなっているお子様はそのまま治療開始いたします。恐怖心が残っているうちは、何回か同じように練習をして、お口の中でできるようになってから治療をするようにおすすめしています。お子様が小さくても、一人の人として扱いたいと願っています。

「歯石を取った後、歯垢や歯石が再付着しにくいようにしたい」
「ヤニを取って、再着色しにくいようにしたい」
「見た目を天然の歯と同じようにして、むし歯になりにくい差し歯にしたい」
「金属の止め具を使わないで、“入れ歯”とわかりにくい入れ歯にしたい」
「インプラントをしたい」
「歯を白くしたい」
以上に述べたことはすべて保険の適応になりません。
保険診療は、あくまで最低限生活するのに支障がない程度までしか適応されません。いわば機能重視の治療といえます。
かめのこ歯科クリニックでは、治療前もしくは治療中に保険診療か自費診療かの分岐点で、どちらの治療を選択されるか必ず説明します。そのときの状況に応じて患者さまに選択していただきます。
歯周外科手術には様々な方法がありますが、歯周再生療法とは、部分的に失われた骨を再生する方法です。適応症例は限られますが、この方法を行うことで歯茎を減らすことなく歯周病を治すことが期待できます。その他にも、歯茎に対する手術はいろいろな方法があります。歯や骨や歯茎の状況を診査して、必要に応じて最適な手術方法をご提案させていただきます。
当院のホワイトニングは、漂白効果が非常に高い薬剤を使用していますので、1回のホワイトニングで高い効果が期待できます。濃度が非常に高いため、施術中に痛みを感じることがまれにありますが、1回でかなり歯が白くなるのは大きな魅力だと思います。1回で満足できない方は2回行うとさらに白くなります。1回の施術に約1時間かかります。生活習慣にもよりますが、効果は1年程度持続します。
自宅で行うホワイトニング(ホームホワイトニング)は薬剤の濃度が低く、漂白するのに時間もかかり、十分な効果が期待できないことが多いため、当院では歯科医院でのホワイトニング(オフィスホワイトニング)のみ行っています。
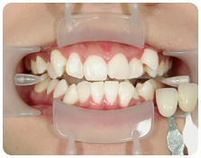
術前
術後
術前
術後
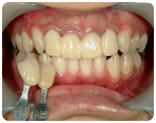
部分的な詰め物や、全周を覆うかぶせ(差し歯)の中で、保険適応のものでは満足されない方に対して、 様々な特徴を持った自費診療のものを各種取り揃えています。
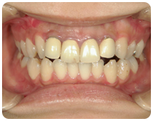
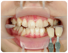
術前
前歯4本の保険の範囲内の差し歯の見た目と、歯全体が黄色くなっているのが気になっているそうです。
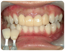
仮歯
差し歯を取り外し、仮歯で理想的な形を模索します。
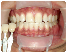
仮歯+ホワイトニング
仮歯以外の自分の歯をホワイトニングして白くします。
術後
仮歯をセラミックにして自然で白い歯を手に入れました。
自費診療の入れ歯は、患者さまの歯茎の強さ、骨の強さ、留め具の見え方によって患者さま一人ひとりにあった種類の入れ歯をご提案させていただいています。
保険適応の入れ歯がぴったり合っていて、さらに満足度を高めようと思うと、金属床は最適です。金属床入れ歯は、内側の部分を金属で仕上げています。そのため、保険適応の入れ歯と比べて、われにくく、薄くできます。
また、金属でできているため熱伝導率が高く、お食事のとき温度を感じることができ、よりおいしくお食事を楽しめます。部分入れ歯の場合は、保険適応の入れ歯だとたわみやすいため、留め具を付けている歯が悪くなりやすいのですが、金属床だとたわみが少ないため、留め具を付けている歯を揺らしにくく、残っている歯にも優しいです。
スマートデンチャーは、留め具が金属ではなく、特殊な樹脂で仕上げています。歯茎と同じ色の留め具なので、見た目が入れ歯だとわかりずらく、見た目を気にされる方にはおすすめです。留め具が樹脂でできているため、留め具がゆるくなっても調整が難しく、お預かりして修理する必要がでてくることがありますが、「入れ歯に見えない入れ歯」は大きな魅力だと思います。
どんなにお口に合う入れ歯を作っても、入れ歯を支える歯茎が弱かったらずっと痛みがでます。骨の裏打ちが少なく、硬い入れ歯を歯茎が許容できない方がたまにいらっしゃいます。
コンフォートは、入れ歯の裏側(歯茎に当たる面)に特殊なシリコンを貼りつける入れ歯です。この特殊なシリコンははがれることはほとんどありません。歯茎に当たるところがシリコンなので、痛みがでることもほとんどありません。痛みがなくなることで、噛む力が3倍以上になります。保険適応の入れ歯を作ってどんなに調整しても痛みがとれない患者さまにはおすすめいたします。
インプラントとは、歯を失った時にその失った場所に人工の歯根を骨に直接植える方法です。骨と一体化するため、動くことがなくしっかりと食べ物を噛むことができ、食生活の大きな助けになります。
近年、インプラントはマスコミによって騒がれています。確かに、インプラントの使い回しなど、あり得ないことが起こっていることも事実です。しかし、ちゃんとCTを撮影し、そのCTを解析し、診査、診断を適切に行えば、非常に安全な手術ができ、長持ちします。また、骨の量が十分なく、骨を作るにも限界があるような無理なケースでは、インプラント治療を回避することもできます。
当院のインプラントに対する考え方は、「治療オプションの一つ」で、「長持ちしなさそうな無理なインプラントは決してすすめない」です。インプラントはとても優れた治療方法だと思います。当院では、インプラント治療に限らずですが、診査、診断の部分に重きをおいて、確実な治療を行えるよう心がけています。
歯が1本抜けた場合
歯の抜けた所へインプラントを埋入。周りの歯は削りません。
奥歯が数本抜けた場合
入れ歯を固定する金具が無いので他の歯に負担をかけません。
歯が全部抜けた場合
数本のインプラントで入れ歯をしっかり固定。ズレる心配がありません。